logo icon

Our Smiles Speak for Themselves

Every smile tells a story, and here are a few amazing before and after pictures of patients treated by Dr. Leiva and the Monroe Orthodontics team.

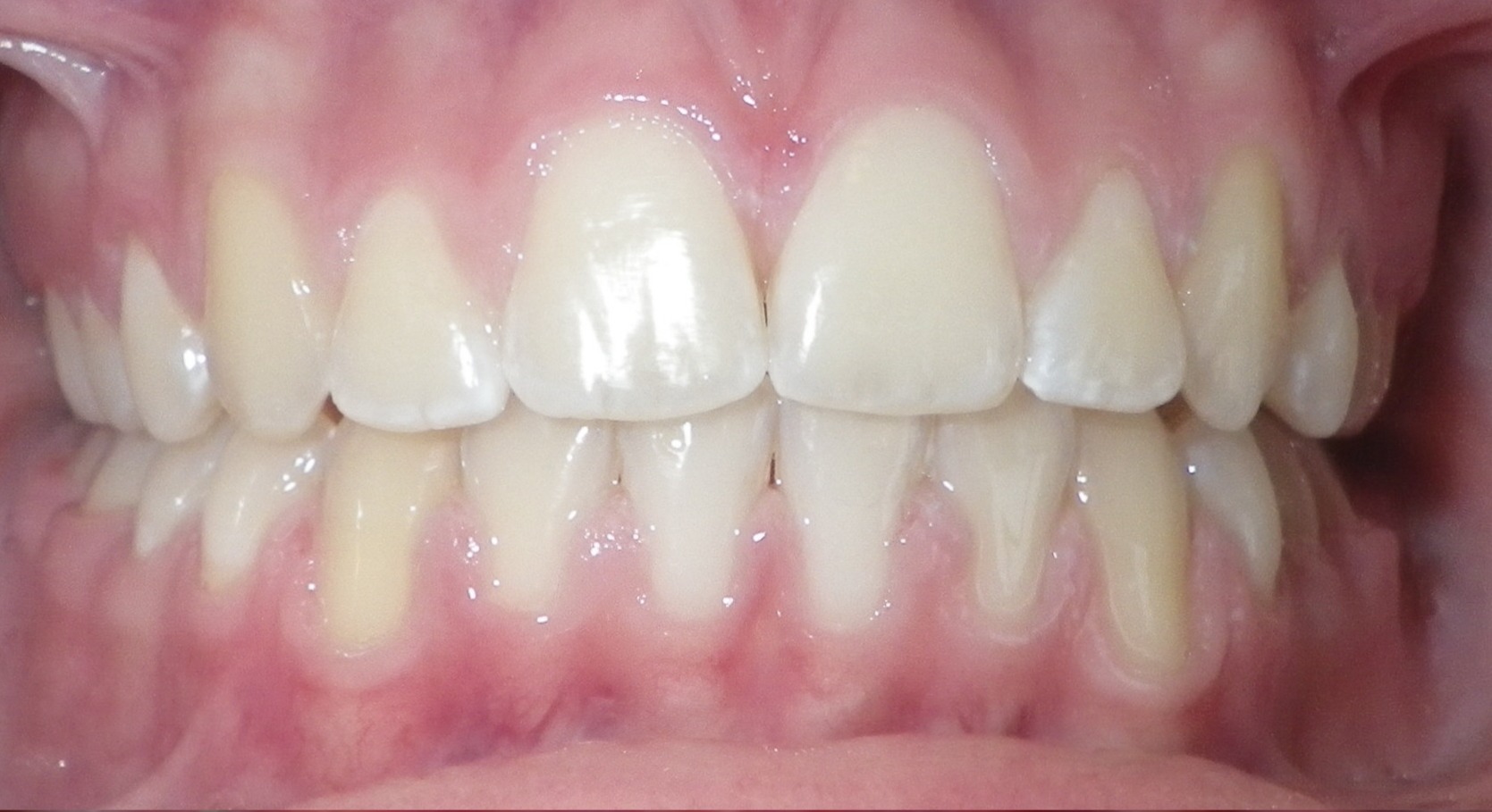
Patient One

Original Image After
Modified Image Before

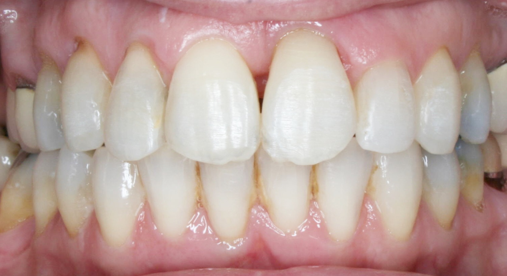
Patient Two

Original Image After
Modified Image Before

Patient Three

Original Image After
Modified Image Before

Patient Four

Original Image After
Modified Image Before

Patient Five

Original Image After
Modified Image Before

Patient Six

Original Image After
Modified Image Before

Patient Seven

Original Image After
Modified Image Before

Patient Eight

Original Image After
Modified Image Before